ICU:“火眼神探”追根求源救危重,重症肌无力患者转危为安获新生
字号:
小
中
大
近日,我院ICU收治一名从在杭某省级兄弟医院转来的46岁男性重症肌无力的患者。该患者因重症肌无力接受糖皮质激素治疗后出现肌无力危象,进而出现呼吸衰竭,生命垂危。接受丙种球蛋白冲击治疗后症状无明显改善。人生未知天命,而一纸病危通知已下,这几乎是“死亡判决书”,将患者和家属送进了毫无希望的地狱般的境地。怀揣着百分之一的希翼,家属将患者转至我院重症监护室(ICU)寻求治疗。
患者入ICU后,由江荣林教授为核心医护团队也发现了患者的问题的确非常棘手。肺部情况极差,重症肌无力也非常严重,常规治疗方案均已应用然而并没有取得效果,治疗似乎进入了“死胡同”,而病人的状态又极差,留给大家的时间已经不多了。
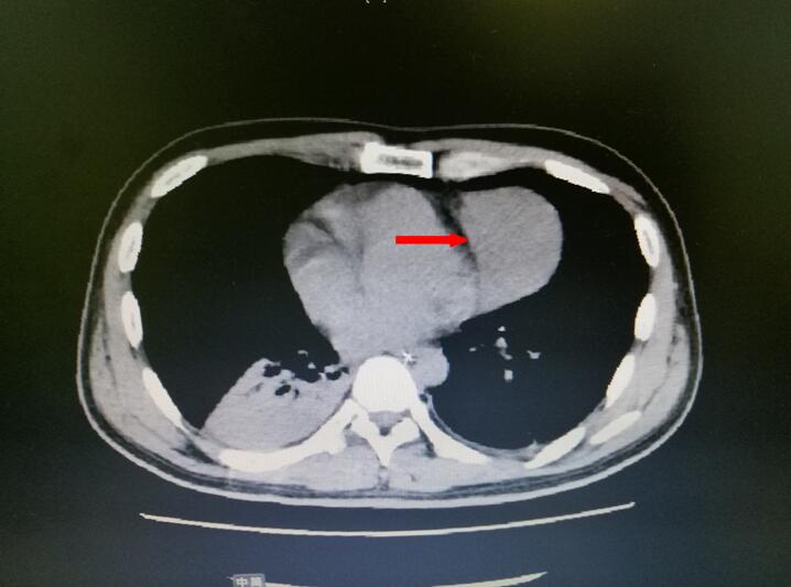
ICU的医疗卫士们详细诊察患者,抽丝剥茧分析病情,发现导致重症肌无力的“根源”——巨大胸腺瘤(见下图箭头处)。而患者肺部氧合情况极差是由于肺部痰液阻塞导致。

ICU发起并召集包括心胸外科、影像、神经内科等多学科会商,明确诊断后制定后续治疗方案。第一周,ICU反复行纤维支气管镜引导下目标区段可视化吸痰,联合ICU中医中药特色保持气道通畅,恢复患者正常通气。第二周由胸外科任哲副主任团队行胸腔镜下胸腺瘤切除术。围术期有ICU强大的机械通气支持呼吸,为兄弟科室开展手术切除解除后顾之忧。第三周,患者脱机锻炼并成功脱离呼吸机。
仅仅用了3周时间,患者由“死亡通知”到能够自己步行走出ICU。看着指缝间漏下的冬日暖阳,回想着3周前在地狱边缘挣扎的日子,患者以及家属满心感谢,感谢浙江省中医院给他带来的新生!

ICU/供稿